Rick Glassman, DDS, MAAFE
Navigation
  • Chao Pinhole Surgical (PST™)
  • Dentegrity
  • Advanced Restorative
  • Esthetics
    • Esthetics
    • Esthetics: Supreme Direct Bonded Composite (DBC) vs Supreme Indirect Composite Veneer (I-CV)
  • Special Effects
  • Testimonials
  • More
    • Rick Glassman, DDS
      • About Rick
      • Testimonials
      • Thank Yous
      • Lab endorsements
      • Westlake Favorites
    • The Office
      • The NEW all digital Operatory
      • California Health and Longevity Institute
      • The Four Seasons
    • Other Stuff
      • In the News
      • Special Effects
      • New & Cool
      • Art by Rick
  • Contact
  • Chao Pinhole Surgical (PST™)
  • Dentegrity
  • Advanced Restorative
  • Esthetics
    • Esthetics
    • Esthetics: Supreme Direct Bonded Composite (DBC) vs Supreme Indirect Composite Veneer (I-CV)
  • Special Effects
  • Testimonials
  • More
    • Rick Glassman, DDS
      • About Rick
      • Testimonials
      • Thank Yous
      • Lab endorsements
      • Westlake Favorites
    • The Office
      • The NEW all digital Operatory
      • California Health and Longevity Institute
      • The Four Seasons
    • Other Stuff
      • In the News
      • Special Effects
      • New & Cool
      • Art by Rick
  • Contact
Home Advanced Restorative PST Case 21

PST Case 21

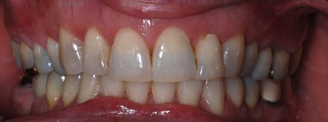
Rick Glassman, DDS August 24, 2017Chao Pinhole Surgical Technique (PST™)

CPST #3-14 12 day PO BEFORE

CPST #3-14 12 day PO AFTER

Share this!

Post-Op Instructions

Below find instructions for post-operative care. Please download and read carefully. Don't hesitate to call if you have any questions.

Post-Op Instructions


Social

              

  • Chao Pinhole Surgical Technique (PST™)
  • Dentegrity
  • Advanced Restorative
  • Esthetics
  • Special Effects
  • Contact
Copyright Rick Glassman, DDS 2022

Utilities

Sitemap

Toggle the Widgetbar