Navigation
Chao Pinhole Surgical (PST™)
Dentegrity
Advanced Restorative
Esthetics
Esthetics
Esthetics: Supreme Direct Bonded Composite (DBC) vs Supreme Indirect Composite Veneer (I-CV)
Special Effects
Testimonials
More
Rick Glassman, DDS
About Rick
Testimonials
Thank Yous
Lab endorsements
Westlake Favorites
The Office
The NEW all digital Operatory
California Health and Longevity Institute
The Four Seasons
Other Stuff
In the News
Special Effects
New & Cool
Art by Rick
Contact
Chao Pinhole Surgical (PST™)
Dentegrity
Advanced Restorative
Esthetics
Esthetics
Esthetics: Supreme Direct Bonded Composite (DBC) vs Supreme Indirect Composite Veneer (I-CV)
Special Effects
Testimonials
More
Rick Glassman, DDS
About Rick
Testimonials
Thank Yous
Lab endorsements
Westlake Favorites
The Office
The NEW all digital Operatory
California Health and Longevity Institute
The Four Seasons
Other Stuff
In the News
Special Effects
New & Cool
Art by Rick
Contact
Home
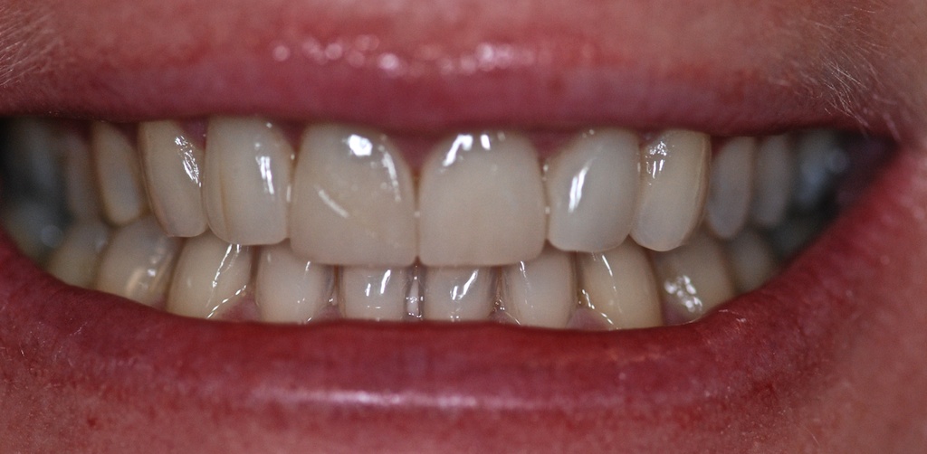
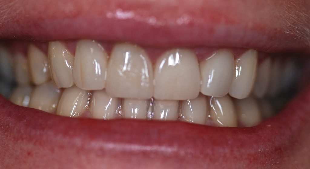
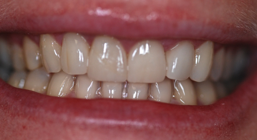
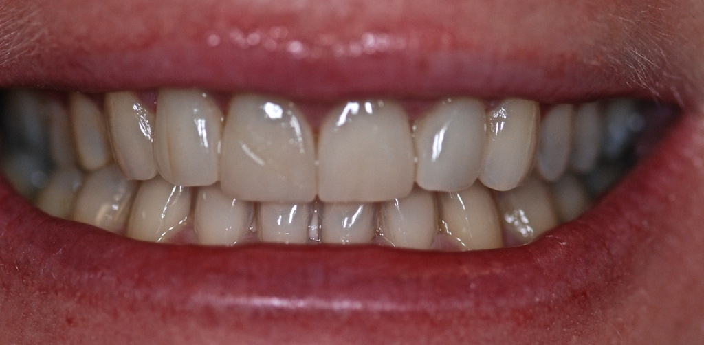
Westlake Favorites
Westlake Favorites
Utilities
Sitemap
Toggle the Widgetbar